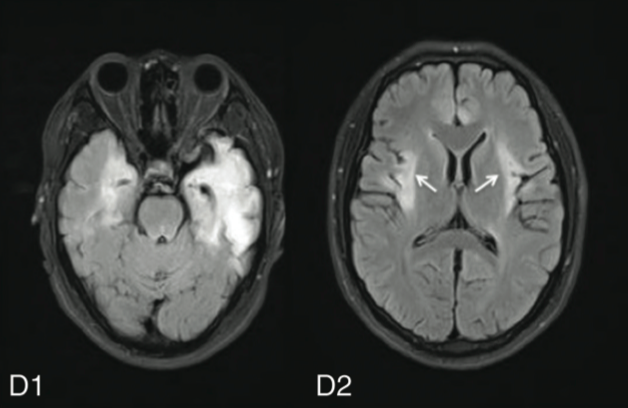
· mriで単純ヘルペス脳炎を疑う所見がない」場合 ・「発症から72時間以上後の髄液検査においてHSV DNA高感度PCRが陰性」かつ「意識清明」かつ「頭部MRIで · 単純ヘルペス脳炎の診断後3週間以内に抗体を認めることが自己免疫性脳炎発症のリスク因子(odds ratio OR 11·5, 95% CI 27–4;純ヘルペス脳炎の症例を経験したので報告する。 症例79 歳男性。嘔気、発熱、心窩部不快感を認め当院 入院となった(jcs1)。入院3 日目全身痙攣、左半身麻痺、 右側上行偏視を認めた(jcs0)が、その後徐々に意識が回 復した(jcs2 桁)。mri 画像では右側側頭葉皮質、島皮質に 異常信号を認めた
Ema症例78 10月症例解説 Em Alliance
ヘルペス 脳炎 mri
ヘルペス 脳炎 mri-単純ヘルペス脳炎や日本脳炎などが あります。 次に、脳症と呼ばれるもの。それは、ウイルス感染はしているが、それは脳の中では なくて、脳以外の場所で起きている感染が、例えばサイトカインやケモカイン、酸化ス トレスなどによって間接的に脳の障害を起こすもの、これには脳炎の検査・診断方法 頭部MRIにより脳病変を検出します。 単純ヘルペス脳炎では、下の画像のように前頭葉の底面や側頭葉の内側に異常がみられます。 単純ヘルペス脳炎の頭部MRI 脳に炎症が起きているかどうか、および病原体を調べるために、腰椎穿刺 (せんし/針を刺し、体内の液体を採取すること)による脳脊髄液検査で、脳脊髄液中の細胞数の増加や蛋白の



Subacute Sclerosing Panencephalitis Wikipedia
入院時,MRIで両側側頭葉内側部に高信号域を 認めた。髄液検査では軽度の細胞数増加を認め, ウイスル性脳炎,とくに単純ヘルペス脳炎が疑わ れ,点滴静注にてアシクロビル1500mg/dayの投 与が開始された。しかし,入院日に提出した髄液脳炎, by Wikipedia https//jawikipediaorg/wiki?curid= / CC BY SA 30#感染症#脳神経疾患#救急医学脳炎脳炎(のうえん)は、脳の炎症MRIではGd造影剤によって脳槽や脳溝のクモ膜 下腔ならびに髄膜にみられる異常増強効果が確実 な直接所見である(図1 ) 。 髄膜炎に伴う炎症性の 渉出物はその量が多い場合、造影前のTl強調像 でも正常髄液に比し相対的にやや高信号を示す。
· 単純ヘルペス脳炎は成人における散発性の急性ウイルス性脳炎の中で最も頻度が高く,起因ウイルスが判明 MRI所見として,T1強調画像にて等~低信号,T2強調画像とFLAIR画像にて高信号を示すことが多く,病初期では拡散強調画像(diffusion weighted imaging:DWI)が有用なこともあり,MRI検査ではT1単純ヘルペス脳炎の画像所見の特徴を教えてください 1年を通して非流行性の脳炎としては最も高頻度に発生する急性脳炎で,新 生児,年長児,成人と,どのような人でも感染発症の可能性はあります。感 染病原体には単純ヘルペスウイルスtype1(HSV1)とtype2(HSV2)があ ります。成人の単純単純 ヘルペス 脳炎 はMRIで異常所見 を検出 する 頻度 が高く, 病変 は側頭葉 にびまん 性,島病変 を伴いやすいのが 特徴 である. 一方,自己免疫性脳炎 では 内 側側頭葉 に限局 し, 基底核病変 を伴うことが 多いことが 鑑別点 である17). 膠原病 に合併 する 脳炎 では, 全身性 エリテマトーデ ス(CNS ループス), Sjögren 症候群,再 発性多発骨軟骨炎18
A頭部ct,mri所見 ウイルス薬を 画像検査では,側頭葉内側面,島回皮質を中 心に炎症や出血を示唆する信号異常が観察され ます.病変は一側性のことも両側性のこともあ りますが,両側性の場合は必ず左右差がありま す 図1単純ヘルペス脳炎の頭部mriと,非ヘルペス性急性辺縁系脳炎(non‒herpetic acute limbic encephalitis:NHALE) の増加に加えて,髄液NMDA型GluR抗体高値が参考となる.MRI異常は30~40% にみられ,記憶認知の後遺症が残りやすい.筆者らの厚生労働科学研究などにより, NHALE診断スキームが整い周知され,早期診断治療が可能とMri症例集 (a)中枢神経系(脳、脊髄) ヘルペス脳炎 (法典クリニックのご好意による) アルツハイマー型痴呆症 髄液拍動(cine画像) 脳炎(flair画像、拡散強調画像) 肝性脳症:t1強調横断画像 後頭蓋窩くも膜嚢胞:flair横断画像 (b)頭頚部 甲状腺癌(t2強調矢状断画像) 甲状腺腺腫、未



その他の疾患 脳 神経系の感染症 脳の病気 福岡脳神経外科病院 医療法人 光川会



その他の疾患 脳 神経系の感染症 脳の病気 福岡脳神経外科病院 医療法人 光川会
非ヘルペス性急性辺縁系脳炎・脳症(nhale)および単純ヘルペス脳炎(hse)の髄液サ イトカインを比較すると、nhale群のil6、il10およびhse群のil6、il10、ifnγ、 stnfr1 値は非感染性非炎症性神経疾患(コントロール群)に比して有意に高値だった。 nhale群とhse群の比較では、ifnγ、stnfr1値が後 · ヘルペス脳炎の場合の投与量として、基本的には 1日15mg/kg を2時間以上かけて緩徐に点滴静注する。投与期間は10日間を1クールとする。副作用として白血球、血小板減少、肝機能異常に注意を要する。ペントスタチ ン製剤との併用により、腎不全、肝不全、神経毒性が発現するとの報告があり、併用は禁忌である。1 .小児期のヘルペス脳炎 頭部 CT/MRI 上では前頭葉・側頭葉を中心とし た局在病変が認められる.MRI は CT よりも微小 な病変の描出が可能であり,早期診断に有用であ る.脳波ではほぼ全例に異常がみられるが,PLEDS (periodic lateralized epileptic discharge)の出現は小 児例の 1/3 に認めら



脳炎 のうえん 済生会



Pdf Herpes Simplex Encephalitis Initially Presented With Parietal Cortex Lesions Mimicking Acute Ischemic Stroke A Case Report
354 1786 またもやロシアンルーレット 脳血管造影の際の塞栓:四人に一人は起こっているっていうんだ.無症候性の塞栓だけどね.Silent embolismを.HIV脳症・脳炎humanimmunodeficiency virusencephalopathy/encephalitis(HIVE) HIVによる大脳白質の障害である。MRIではT2 強調像にて左右対称性に半卵円中心優位に深部白質 に高信号域を認める(図8)5)。皮質直下白質(Ufiber)は保たれる。腫脹や造影増強効果は認めない。Ctやmri等の画像検査で確認することができる。 帯状疱疹における脳髄膜炎のような中枢神経の合併症は 稀とされている。当科の1994年までの帯状疱疹患者416名に ついて調査したが、脳髄膜炎の合併例はない。その後の07年



脳炎



単純ヘルペス脳炎とは 症状 原因 治療など ドクターズ ファイル
りみられず。頭部MRIでADEMが疑われ、加療中。h243 加療中 不明 接種4日後、痙攣重積、入院。 情報不足 発症がやや早い 12 h2310 5~ 10歳 微研jr103 脳炎 接種翌日、発熱。接種7日後、けいれん重積。急性脳症にて入 院。入院翌日、icu入室し、全身麻酔管理。重積頭部 MRI 単純 ヘルペス 脳炎 が疑われた 患者 において 頭部 MRI検査 は強く推奨 され, 可及的速 やかに 行われるべき 検査 である. 水平断 T1 ,T2 ,diffusionweighted MRI image(DWI), T2 fluid attenuated inversion recovery(FLAIR )を施行 することが 望ましい. 4.ICUではすぐにMRIというわけにいかないケースも多々あるので、ヘルペス脳炎疑いの時は頭部CTをしっかり確認する必要がありそうです。 治療については、ヘルペス脳炎を疑えば 確定診断の前に アシクロビル点滴投与です。成人は10mg/kg静注(高齢者では75mg/kg)、1日3回、21日間です。この際、生食250mlで溶き、2時間かけて投与することが重要です。小児や新生児などは



単純ヘルペス脳炎とは 医療総合qlife



脳炎 髄膜炎の画像診断 2ページ目 Cadetto Jp
の脳炎の典型的な症状の他,失語,食欲不振や痙 攣発作は単純ヘルペス脳炎に特徴的な症状と報告 図2 123iimp脳血流spect軸位断像 超早期像(a)および早期像(b)で,mri上の異常信号部位に対応する集積増加 域を認め,特に超早期像で対側とのコントラストが高い。 · レントゲンやCTで 単純ヘルペス脳炎 を診断することはできませんが、他の病気でないことを確かめるために頭部CTを撮影することはあり得ます。 頭部MRIは診断に有用ですが、やはり最も大切な検査は腰椎穿刺です。 単純ヘルペス脳炎 については、診断がつき次第その場で治療が開始されますし、治療の方法にもバリエーションが少ないため、どこでどのような治療 · 単純ヘルペス脳炎では、頭部CTやMRI、脳波検査、髄液検査が行われます。年齢に応じて脳のどこが支障を受けるかは異なります。成人であれば前頭葉や側頭葉、新生児では後頭葉といったように、病気の影響を受けやすい部位を中心に調べます。脳波検査では何かしらの異常を見ることが多く、ときにperiodic lateralized epileptiform discharge(周期性一側性癲癇性放電)を見る



Case



E Axial T2 Flair Mri Of This 78 Year Old Man Who Was Taken At Time Of Download Scientific Diagram
· 脳炎などの造影効果として脳炎ヘルペスは疑いにくい。 好発部位がちょっと違う。脳炎を起こしている画像ではないと思います。 血行性なら全体的にびまん性に造影効果があるでしょう。 浮腫があり、脳炎や脳梗塞、腫瘍を疑う。 mraからpcaは残っている · 単純ヘルペス脳炎の診療 (IASR Vol 40 p年6月号) はじめに 単純ヘルペス脳炎(herpes simplex encephalitis HSE)は初期治療が患者の転帰に大きく影響するneurological emergencyであり, 早期診断早期治療が重要である。単純ヘルペス脳炎診療ガイドライン17について単純ヘルペス脳炎,基底核病変,MRI はじめに 単純ヘルペス脳炎(Herpessimplexencephalitis: HSE)は,頭部画像診断にて側頭葉内側部や前 頭葉下面の皮質に異常所見が認められることが多 く,基底核病変を伴った報告は極めて少ない.今



単純ヘルペス脳炎とは Mri画像診断のポイントは



単純ヘルペス脳炎 Hse Herpes Simplex Encephalitis 医学事始 いがくことはじめ
東部ウマ脳炎のCT, MRI 神経梅毒がヘルペス脳炎にそっくりな画像を呈した例 Roger Denays and others A 51yearold woman with disorientation and amnesia Lancet 1999; · ヘルペス脳炎の検査方法 ・ct、mri検査 ・脳波検査 ・脊髄液検査 ・ウイルス学的検査 を行い脳炎ヘルペスかどうかを判断します。早期診断には髄液からのpcr陽性、酵素抗体での陽性値が有用になります。 ヘルペス脳炎の治療方法



その他の疾患 脳 神経系の感染症 脳の病気 福岡脳神経外科病院 医療法人 光川会



Images Of 単純ヘルペス脳炎 Japaneseclass Jp



単純ヘルペス脳炎の診療



Hhv 6脳炎 脳症



ダウンロード ヘルペス脳炎とその周辺 Pdf Epub Mobi Ebook Onlinebooksjapan Live



ウィルス性辺縁系脳炎 主にhsv 診断 神経疾患治療マニュアル



ヘルペス脳炎 落書き帳2



I 中枢神経 3 単純ヘルペス脳炎 化学療法の領域 31巻9号 医書 Jp



抗nmda受容体抗体脳炎の頭部mriの病変部位 今日なに読もう 病院総合診療医の論文ブログ



E Axial T2 Flair Mri Of This 78 Year Old Man Who Was Taken At Time Of Download Scientific Diagram



早期治療でヘルペス脳炎患者を救命せよ 日経メディカル



Ema症例78 10月症例解説 Em Alliance



脳神経科について 松波動物病院メディカルセンター



Subacute Sclerosing Panencephalitis Wikipedia



脳mri診断 110医i22 医療関係資格試験マニア



発熱後の異常行動を主訴に受診した17歳女性 キーフレーズで読み解く 外来診断学 187 Web医事新報 日本医事新報社



Ema症例78 10月症例解説 Em Alliance



症例5 診断と解説



目でみる症例 単純ヘルペス脳炎 非ヘルペス性急性辺縁系脳炎 臨床雑誌内科 105巻1号 医書 Jp



正常画像と並べてわかるシリーズ 正常画像と並べてわかる 頭部mri 改訂版 ここが読影のポイント 羊土社



単純ヘルペス脳炎 Hse Herpes Simplex Encephalitis 医学事始 いがくことはじめ



単純ヘルペス脳炎 慢性期 のmri所見 症例 K W S19年生まれ女性 病歴 1987年8月発熱 痙攣 昏睡で発症 4日後入院し脳炎の診断で治療記名力障害と失語症を残す 転帰 S62年以降リハビリを行っているが病状は固定 画像 1995



101a47 Medu4でゼロから丁寧に医学を学ぶ



正常画像と並べてわかるシリーズ 正常画像と並べてわかる 頭部mri 改訂版 ここが読影のポイント 羊土社



ウィルス性辺縁系脳炎 主にhsv 診断 神経疾患治療マニュアル



Ema症例78 10月症例解説 Em Alliance



脳炎 Wikipedia



単純ヘルペス脳炎 慢性期 のmri所見 症例 K W S19年生まれ女性 病歴 1987年8月発熱 痙攣 昏睡で発症 4日後入院し脳炎の診断で治療記名力障害と失語症を残す 転帰 S62年以降リハビリを行っているが病状は固定 画像 1995



日本小児放射線学会雑誌 J Jpn Soc Pediatr Radiol 17 33 1 2 13 日本小児放射線学会 特集第 52 回日本小児放射線学会学術集会 画像を診る ランチョンセミナー 2 より 小児中枢神経ウイルス感染症の画像診断 安藤久美子 石藏礼一 河中祐介 五十嵐陽 Pdf Free



早期治療でヘルペス脳炎患者を救命せよ 日経メディカル



Iasr 31 2 新型インフルエンザウイルスah1pdm 脳症 成人



脳炎 髄膜炎を疑ったとき Medicina 42巻3号 医書 Jp



Images Of 脳炎 Japaneseclass Jp



単純ヘルペス脳炎 慢性期 のmri所見 症例 K W S19年生まれ女性 病歴 1987年8月発熱 痙攣 昏睡で発症 4日後入院し脳炎の診断で治療記名力障害と失語症を残す 転帰 S62年以降リハビリを行っているが病状は固定 画像 1995



nmda脳炎の診断 コミュニティホスピタリスト 奈良



脳炎 髄膜炎の画像診断 2ページ目 Cadetto Jp



110b18 Medu4でゼロから丁寧に医学を学ぶ



沖縄県医師会 沖縄県医師会報 10年1月号



110a22 Medu4でゼロから丁寧に医学を学ぶ



前頭側頭型認知症 脳科学辞典



101a47 Medu4でゼロから丁寧に医学を学ぶ



抗nmda受容体脳炎 8年越しの社会復帰 3 忘れられた弟の存在 続く記憶障害との闘い 毎日新聞



神経内科 専門医への軌跡 ローテーション例など 医科後期臨床研修 長崎大学病院 医療教育開発センター



辺縁系脳炎とその周辺 コミュニティホスピタリスト 奈良



南風病院 脳神経内科のご案内



ヘルペス脳炎 自己免疫性脳炎 辺縁系脳炎 総合診療医ドクターpチャンネル 元救急医の挑戦 In 宮崎



単純ヘルペス脳炎 慢性期 のmri所見 症例 K W S19年生まれ女性 病歴 1987年8月発熱 痙攣 昏睡で発症 4日後入院し脳炎の診断で治療記名力障害と失語症を残す 転帰 S62年以降リハビリを行っているが病状は固定 画像 1995



単純ヘルペス脳炎 Hse Herpes Simplex Encephalitis 医学事始 いがくことはじめ



メジカルビュー社 画像医学 放射線医学 脳 脊髄の連想画像診断



ヘルペス脳炎 自己免疫性脳炎 辺縁系脳炎 総合診療医ドクターpチャンネル 元救急医の挑戦 In 宮崎



単純ヘルペス脳炎とは コトバンク



自己免疫性脳炎 中枢神経ループスと甲状腺 橋本病 バセドウ病 超音波検査 長崎甲状腺クリニック大阪



神経内科 診療科 部門紹介 社会福祉法人 三井記念病院



髄膜炎の画像診断 Mri Ct所見 まとめ



繰り返す意識障害を呈した79歳男性 キーフレーズで読み解く 外来診断学 4 Web医事新報 日本医事新報社



Case

0 件のコメント:
コメントを投稿